胸膜炎の鍼灸【原因・定義・症状】

公開日:2021年  2月23日

更新日:2021年  5月 15日

本日は胸膜炎について解説させていただきます。

☆本記事の内容

  • 胸膜炎とは
  • 胸膜炎の原因
  • 胸膜炎の症状
  • 胸膜炎の改善方法
  • 胸膜炎のまとめ
足のしびれ、痛み

銀座そうぜん鍼灸院の宗前です。

このページを書いている私は、鍼灸師として13年、担当した利用者様数80,000人を誇り、病気の休職者300人を社会復帰できるまで回復させてきた実績があります。

 

胸膜炎は、胸膜に炎症が起きてしまうこと

胸膜は、両側の肺の表面をそれぞれ覆っている2枚の薄い膜のことです。胸膜炎は、この膜に炎症が起きてしまうことです。

 

多くの場合の胸膜炎では、2枚の胸膜の間に胸水という液体がたまる状態になります。

 

胸膜炎は、胸膜炎自体で起こることは少ないです。ほとんどの場合は癌や結核、肺炎などの後に起こります。

胸水がたまると、ほとんどの人は胸の痛みを訴えます。胸水の量が増えると、呼吸困難になることもあります。

 

胸膜炎の原因によって現れる症状には差があります。中でも、発熱の症状があることが多いです。他に現れる症状としては、咳や痰、血痰、体重の減少などがあります。

胸膜炎は原因によって種類が分かれている

胸膜炎は原因によって種類が分かれています。

 

細菌感染が原因の胸膜炎の場合は、細菌性胸膜炎と言います。結核が原因の胸膜炎の場合は結核性胸膜炎と呼ばれています。インフルエンザが原因となることもあります。

 

癌が原因の胸膜炎はがん性胸膜炎などと呼ばれています。癌が原因となるがん性胸膜炎の代表的な原因は肺がんです。さらに胸膜中皮腫や他の臓器にあるがんが胸膜に転移することによって胸膜炎を引き起こしてしまうこともあります。

 

多くの胸膜炎は、感染症や悪性の腫瘍が原因であることが多いです他にも、膠原病や薬、骨折などの外傷が原因で胸膜炎が起こることもあります。

胸膜炎は、肺結核や肺炎、肺がんなどを発病している状態で、腫瘍や炎症が胸膜を刺激することによって起こることが多いです。

 

肺の疾患だけで起こるのではありません。肺の疾患以外にも、肝硬変や心不全、石綿などの胸膜を刺激するものが原因で起こることもあります。

胸膜炎は胸膜が炎症を起こす状態で、その原因となる要素は多岐にわたります。今回は、胸膜炎がなぜ起こるのかについて深掘りしてみましょう。

 

まず、最も一般的な原因は感染症です。細菌、ウイルス、あるいは真菌による感染が胸膜炎の主要な引き金となります。これらの病原体は、体内に侵入すると、肺の周囲に存在する胸膜に炎症を引き起こします。細菌感染による胸膜炎は、肺炎や結核のような他の呼吸器の病気と一緒に発生することが多いです。

 

その他の原因としては、肺に直接的な外傷がある場合に胸膜炎を引き起こすことがあります。これには、車の事故や落下事故などによる肺の打撲、胸部への銃弾や刺し傷、外科手術後の合併症などが含まれます。これらの状況では、肺の損傷により体内のバクテリアが胸膜に到達し、感染を引き起こす可能性があります。

 

また、自己免疫に関する病気も胸膜炎の原因となります。これは、体の防御システムが誤って自分自身の細胞を攻撃するという状態で、リウマチ性の病気や全身性エリテマトーデスなどが該当します。これらの病気により、胸膜に炎症を引き起こすことがあります。

 

肺の病気や胸膜の病気、たとえば肺癌や肺結核、胸膜メソチリオーマなどが原因で胸膜炎を引き起こすこともあります。これらの病気は、胸膜に異常な細胞を引き起こすか、あるいは病原体が胸膜に到達して炎症を引き起こします。特に、肺癌は周囲の組織に広がり、胸膜を含む隣接組織に損傷を与え、胸膜炎を引き起こすことがあります。

 

薬物反応もまた胸膜炎の原因となり得ます。特定の薬物が、体内で予期しない反応を引き起こし、胸膜の炎症を引き起こすことがあります。これには一部の抗生物質、抗リウマチ薬、抗不整脈薬などが含まれます。

 

さらに、腹部の病気や障害、例えば膵炎や肝硬変も胸膜炎の原因となることがあります。これらの状況では、炎症反応や感染が胸膜まで広がることがあります。

 

最後に、時折、明確な原因が特定できない特発性胸膜炎も存在します。これは、他の全ての可能性が排除され、特定の原因が見つからない場合に診断されます。

 

以上のように、胸膜炎の原因は多岐にわたります。

胸膜炎の症状は、突然起こる胸の痛み

胸膜炎の症状は、突然起こる胸の痛みです。この突然起こる胸の痛みは、なんとなくで感じる不快感程度のものから激しく刺す程激しい痛みまで色々な痛みがあります。

 

多くの人は胸の痛みをピリピリ痛む痛みに感じます。この胸の痛みは、大きく息を吸ったときに悪化します。

 

胸水が増えると肺が圧迫されてしまうため、呼吸困難を起こしてしまうこともあります。

胸膜炎で起こる主な症状は、咳や痰、激しい動悸などです。他にも、発熱や悪寒、全身の倦怠感などの症状も現れることが多いです。

 

さらに、胸膜炎が起こると胸膜腔に胸水がたまるため、胸膜腔が膨らみ心臓や肺を圧迫します。その圧迫から発熱や胸の痛み、咳、息切れなども起こるのです。

胸膜炎は一般的に、肺を覆う胸膜が炎症を起こす状態です。この病気は、さまざまな症状を引き起こす可能性があります。ここでは、胸膜炎の症状について詳しく説明します。

 

胸膜炎の最も一般的な症状は、胸痛です。これは通常、深く息を吸ったり、咳をしたり、体を動かしたりすると悪化します。これは、炎症を起こした胸膜が摩擦し、痛みを引き起こすためです。特に、胸部の片側に激しい痛みがある場合、それは胸膜炎の可能性を示しています。

 

呼吸困難もまた、胸膜炎の一般的な症状です。これは、肺が正常に膨らまないため、または胸膜炎によって胸腔内に液体が溜まることで、肺の機能が低下するためです。呼吸困難は、特に運動時にはっきりと現れることが多いです。

 

次に、発熱と寒気も胸膜炎の症状です。これらは、体が感染症と戦うための自然な反応で、胸膜炎が感染症によって引き起こされる場合、特に一般的です。

 

他の症状としては、急激な体重減少、無力感や疲労感、食欲不振などがあります。これらは全身的な症状で、体が炎症や感染症と戦っている証拠です。

 

また、長期間にわたる咳や呼吸短促、血痰などの呼吸器症状も胸膜炎の一部となることがあります。これらの症状がある場合、それはしばしば胸膜炎が他の肺の病気、たとえば肺炎や肺結核、肺癌と関連している可能性を示しています。

 

胸膜炎の症状は、原因となる病気や個々の体質によって変わる可能性があります。また、症状の重度は胸膜炎の形態によっても異なる可能性があります。

 

急性胸膜炎の場合、症状は急激に現れ、しばしば強烈であることが特徴です。一方で、慢性胸膜炎では、症状は徐々に発展し、数週間、または数ヶ月にわたって持続することがあります。

 

また、いくつかの特定の病気や状態により、他の特異的な症状が引き起こされることがあります。例えば、結核性胸膜炎の場合、夜間の発汗、慢性咳、体重減少などの典型的な結核の症状が見られることがあります。

 

重度の胸膜炎の場合、胸腔内に大量の液体が溜まる可能性があり、これにより呼吸不全を引き起こすことがあります。この状態は、呼吸の困難さを増加させ、深刻な健康問題を引き起こす可能性があります。

胸膜炎では、原因に対しての改善を中心に行う

胸膜炎を改善するためには、原因に対しての改善を中心に行います。

 

原因が感染症の場合は、感染症の原因となっている菌に対して有効な抗菌薬を使います。原因が悪性腫瘍の場合は、悪性腫瘍に有効な抗癌剤や放射線などを使います。

 

原因が心不全の場合は強心剤を使います。原因が結核の場合は、抗結核剤を使って改善を行います。

 

胸膜炎の原因が癌の場合の改善には、胸膜を癒着させるために胸膜癒着術を行うこともあります。

胸水の量が多い場合は、息が苦しくなります。そのため、薬などを使った方法と合わせて胸膜の間に管を入れて胸水を体の外に抜くための処置を行います。

 

胸腔に膿が溜まってしまった場合は、膿が溜まってから3カ月以内の時は胸腔ドレナージで改善を行います。それ以上時間が経ってしまっている時は改善するために胸腔鏡下での手術が必要なこともあります。

胸膜炎は肺を覆う胸膜が炎症を起こす状態で、感染症、外傷、自己免疫に関する病気、肺の病気など、さまざまな原因があります。胸膜炎の改善方法はその原因、症状の重度、全体的な健康状態などに基づいて決定されます。

 

薬:胸膜炎の最も一般的な改善法の一つは薬です。細菌感染が原因である場合、抗生物質が最初に投与されます。ウイルス感染に対しては特定の抗ウイルス薬が使用される場合もありますが、多くの場合、ウイルス感染は自然に回復します。自己免疫に関する病気が原因である場合は、免疫系を抑制する薬物が用いられることがあります。また、痛みを和らげ、炎症を減少させるために、非ステロイド性抗炎症薬やステロイドが投与されることもあります。

 

胸水排出:胸膜炎が胸膜間腔に液体を溜め込む場合、これを除去する必要があります。これは通常、胸腔ドレナージと呼ばれる手術的な手順で行われます。細いチューブを胸壁を通して胸膜間腔に挿入し、胸水を排出します。これにより、肺の圧迫を和らげ、呼吸を楽にします。

 

手術:胸膜炎が反復する場合や、胸水が再度溜まる場合、より強力な手段を取ることが必要になることがあります。胸膜剥離術や胸膜固定術がこれに該当します。これらの手術は通常、一般麻酔下で行われ数日間入院することが必要になることがあります。

 

放射線や抗がん剤:胸膜炎が肺癌や胸膜中皮腫といった癌に起因する場合、放射線や抗がん剤が必要となることがあります。これらの方法は癌細胞を破壊し、胸膜炎の原因を直接的に取り除くことを目的としています。

 

呼吸法:呼吸困難が胸膜炎の主な症状である場合、呼吸法が有効です。これには酸素療法や気管内挿管、場合によっては人工呼吸器の使用が含まれます。

 

胸膜炎の改善方法は具体的な状況により異なるため、計画は専門医により個別に策定されます。本人と医師が連携し、適応する改善方法の効果を定期的に評価し、必要に応じて調整することが最善の結果をもたらします。

 

改善を行うに加えて、生活習慣の改善も胸膜炎の管理に役立つことがあります。例えば、喫煙は肺と胸膜にさらなるダメージを与える可能性があるため、禁煙は胸膜炎の改善において重要な一部となります。また、健康的な食事と適度な運動は一般的な健康状態を改善し、体の自然な改善の能力を強化します。

 

最後に、胸膜炎の改善は単なる症状の管理だけでなく、可能であればその根本的な原因の解決を目指すべきです。これにより、胸膜炎の再発を防ぎ、生活の質を向上させることが可能になります。

病院に行くことが大事

感染による胸膜炎になりやすいのは、高齢の場合や糖尿病、心臓、肺、腎臓、肝臓、神経などに慢性の病気がある場合、がんやHIV感染症などの免疫を弱くする疾患がある場合、免疫を抑えるための薬を使っている場合などです。

 

胸膜炎では、原因に対しての改善を行うことが大切です。胸膜炎の原因は様々です。原因を正確に特定し、その上で介入し改善を行うことが重要です。

 

どのような原因で胸膜炎を起こしてしまったとしても、自分だけで対処できることはありません。突然胸に痛みが起きた時には、きちんと病院に行きましょう。

胸膜炎の改善例

私の臨床経験からの一例を共有します。プライバシーを尊重するため、特定の個人を特定できる情報は使用していません。

 

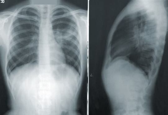
ある日、50歳の男性が風邪のような症状と息苦しさで当クリニックを訪れました。彼は以前に健康問題を抱えておらず、体調の急変に驚いていました。彼の体温は38.5度で、急速な呼吸と苦痛を伴う咳を伴っていました。彼の片方の肺で呼吸音が減少していることがわかり、さらに胸部X線画像により、彼の肺の一部に液体の蓄積が確認されました。その結果、彼は胸膜炎と判断されました。

 

判断の確認と感染原因の特定のために、胸水のサンプルを採取するための手術的な手順、すなわち胸腔穿刺が行われました。この手順は局所麻酔下で行われ、液体を胸腔から抽出するための細い針が胸壁に挿入されます。

 

その後、抽出された胸水を調査し、感染の原因を特定するための細菌培養が行われました。培養結果から、彼が肺炎球菌による感染を発症していることが明らかになりました。そのため、彼には即座に適切な抗生物質が投与され、痛みと炎症を抑えるために非ステロイド性抗炎症薬も処方されました。

 

また、胸水が再度溜まるのを防ぐため、彼の胸腔には一時的なチューブが挿入され、余分な液体が体外に排出されるようにしました。この改善方法は彼の症状を大幅に改善し、彼の体は抗生物質による改善を受け入れ始めました。

 

彼は1週間ほど入院し、その間に定期的に調べ、胸水が再蓄積していないことを確認しました。その後、彼の症状は明らかに改善し、体温も正常に戻りました。胸水の排出も成功し、チューブは安全に除去されました。

 

退院時には、抗生物質を完了するための追加の薬と、必要に応じて痛みを管理するための薬が処方されました。また、リハビリテーションとしての呼吸法も指導され、これにより彼は自宅で肺機能を徐々に回復させることができました。退院後も定期的にクリニックを訪れ、経過観察と必要に応じた追加の改善を行いました。

 

その後数ヶ月にわたり、彼は定期的に当クリニックを訪れ、健康状態をチェックしました。幸いにも彼の胸膜炎は再発せず、数ヶ月後の胸部X線では正常な結果が戻ってきました。

 

最終的に、この男性患者は胸膜炎から完全に回復しました。彼のケースは、適切な判断と改善が胸膜炎にとって如何に重要であるかを示しています。

おすすめ記事
パソコン|モバイル
ページトップに戻る